一、心胸板块
1.鸡胸、漏斗胸NUSS手术的优势:与胸骨翻转术、胸骨抬举术等治疗漏斗胸的传统手术相比,NUSS手术的优点为:1.创伤小(不切胸骨和肋骨);2.出血少(5-10ml);3.手术时间短(30-40分钟);4.术后恢复快,5.钢板固定稳固;6.前胸不切口,外形美观;7.效果显著。

2.硬性气管镜、食管镜取异物治疗小儿呼吸道、消化道异物等危急重症


·气管镜取出异物

3. 电视胸腔镜微创治疗肺吸虫性脓胸

4.小儿先天性心脏病的直视治疗

5.右侧腋下微创小切口治疗先心病

6.胸腔镜治疗动脉导管未闭

7.胸部肿瘤

二、血管皮肤板块
1.聚桂醇注射治疗淋巴管瘤

2. 血管瘤灌注治疗

3.血管瘤与脉管畸形介入手术

4.美容缝合

5. 血管瘤、瘢痕激光治疗

三、脑外板块
1.小骨窗显微手术:是治疗儿童脑型肺吸虫病的有效方法,具有缩短手术时间,显微镜下顺利寻找病灶边界,减少对周围正常脑组织的牵拉。手术创伤小、恢复周期短,做到对脑组织及周围神经损伤最小。

2.颅脑创伤
·小儿外伤性颅骨凹陷粉碎性骨折

·创伤性硬膜外血肿

3.颅内肿瘤

3. 脑积水

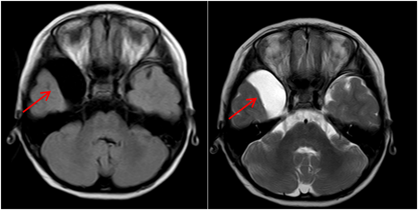
4. 蛛网膜囊肿


四、四肢板块
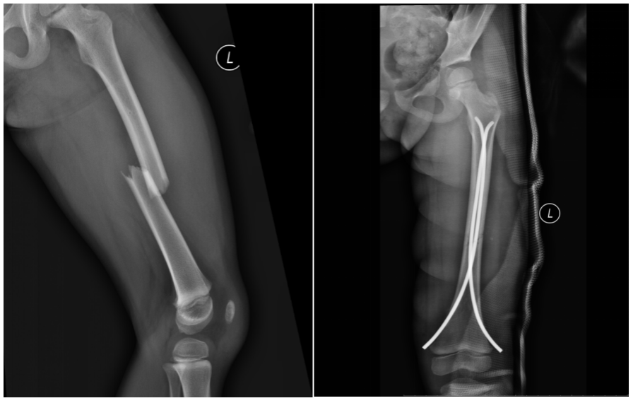
1.小儿骨折微创手术治疗:
治疗范围:儿童股骨骨折、胫腓骨骨折、肱骨骨折及尺桡骨骨折。
微创手术治疗:微创手术采用闭合复位,具有手术切口小、软组织损伤小、手术时间段、术后康复快、住院时间短及并发症少等优点,给早期锻炼和康复带来了条件和机会。

弹性髓内针治疗:是儿童长骨骨折的一种有效方法,具损伤小、不干扰骨折断端局部血运、不损伤骨骺、患肢功能恢复快及并发症少等优点。



2.先天性马蹄内翻足:Ponseti矫形方法,目前已经得到全世界的肯定,手法按摩、石膏固定(Ponseti石膏固定),适用于1岁以内患儿,将畸形的组成部分按一定程序逐个予以矫正,然后用石膏管型固定(通常门诊固定6-8次)。

4.多指

五、感染板块
1.坏死性筋膜炎

2. 肺吸虫感染性胸膜炎

